
IMRT 방사선과 일반 방사선 의 차이 (Intensity modulated radiation therapy)
IMRT를 이해하려고 하면 일반 방사선 치료가 무엇인지 알아볼필요가 있습니다.
대부분의 방사선 치료는 리니어라고 하는 기계를 사용하여 실시가 됩니다. 여러 회사의 여러 기종이 있습니다. 이 기계 안에서 전기를 사용하여 방사선의 일종인 X선이라는 것을 만듭니다. 이 리니어에서 나오는 X선은 대체로 균일한 강도를 가지고 있습니다.

이것은 리니어크의 방사선 사출구에서 본 종양 부분의 모식도입니다. 가운데 초승달 모양의 부분이 종양입니다. 리니어크의 가장 바깥쪽에는 멀티 리프 콜리메이터(MLC: 엠엘씨)라고 하는 얇은 납판이 여러 장 줄지어 있고, 이것이 좌우로 슬라이드되어 움직이는 것으로 위의 그림과 같이 종양의 형상을 대략적으로 만들고, 그 안이 균일하게 조사되는 구조로 되어 있습니다.
리니어크는 방사선을 여러 각도에서 조사할 수 있도록 사출구가 회전할 수 있도록 되어 있습니다. 그것을 이용하면 360도 여러 방향에서 조사할 수 있는 것입니다. 그리고는 각각의 각도마다 거기에서 보이는 종양의 형상에 맞춰 MLC로 조사야의 형상을 다듬어 조사해 나가게 됩니다.
이것이 통상 조사라고 불리는 수법입니다.
그럼 IMRT와 보통 조사는 무엇이 다른 것일까요?
사실 여러 각도에서 멀티 리프 콜리메이터로 조사 범위의 모양을 만들어 방사선을 맞추는 것은 동일합니다.

다시 모식도로 설명하겠습니다. 왼쪽 그림은 장관(정상적인 조사를 원하지 않는 장기: 오렌지)과 종양(보라색)입니다. 종양이 장관을 둘러싸고 있는 형태를 이미지화하고 있습니다. 치료 장치는 이 주위를 빙 회전하여 원하는 각도에서 방사선을 쬐어 갑니다. 그런데 오른쪽 그림을 보세요. 이런 위치 관계에서 정상 장기와 종양이 있으면 어느 각도에서 맞혀도 정상 장기를 피할 수가 없는 거죠. 그림의 노란색 육각형이 각 방향에서 방사선이 겹쳐 있는 부분입니다. 물건의 모양이 보기 좋게 장관이 들어가 버렸습니다.
암을 하제거려면 방사선을 많이 조사하여야 하는데 많은 암보다 장관 쪽이 먼저 한계를 넘는 경우가 많아서 이것으로는 충분한 조사를 할 수 없습니다.
IMRT에서는 이를 해결하기 위해 각 방향에서의 조사 중에도 멀티 리프 콜리메이터를 움직여 갑니다

위의 그림은 앞서 설명한 통상 조사의 그림입니다.
각도를 맞추고, MLC로 형상을 만든 다음 조사해 갑니다.
그러면 안은 균일(그림에서는 빨간색 일색)하게 조사되어 간다는 것이 통상 조사의 이야기였습니다.
IMRT는 각도를 맞춘 후, 하단의 왼쪽 그림의 상태로부터 조사 개시합니다. 그리고 조사 중에 색이 짙은 MLC만 조금씩 화살표 방향으로 움직여 갑니다. 그러면 처음부터 틈이 벌어져 있는 종양의 왼쪽 끝 부분은 강하고, 마지막 부분에 조금만 닿는 오른쪽 끝 부분은 약하게(녹색이라든가 푸른색인 곳입니다) 방사선이 조사는 것입니다. 이렇게 하나의 조사 방향 중에서 방사선의 세기(강도)를 바꾸어 가는(변조)에서 '강도 변조 방사선 치료'라는 이름이군요.
이야기를 간단하게 해서 말씀을 드렸지만 실제로는 MLC는 한 편마다 세세하게 제어가 되어 있기 때문에 그림과 같은 단순한 그라데이션이 아니라 좀 더 복잡한 그라데이션을 만들 수 있습니다. 게다가 여러 각도에서의 조사를 조합하면, 통상 조사에서는 할 수 없는 복잡한 조사 형상을 만들 수 있게 됩니다

이런 식으로 장관만 피한다! 이런 기능을 발휘힙니다. 물론 한도는 있습니다만, 이것으로 복잡한 형상을 한 종양에도 기존보다 방사선을 많이 조사하는 것이 가능해집니다. 또한 종양에 맞는 방사선의 양이 통상 조사와 다르지 않아도 IMRT를 사용하면 정상 장기로의 선량을 줄일 수 있어 부작용 위험을 줄일 수 있습니다.
이것이 IMRT라고 하는 치료의 개략이 되는 것입니다.
강도 변조 방사선 치료 적응 질환
IMRT의 적응이란?
「림프절에도 다른 장기에도 전이가 없는 암」이라면 굉장히 좋은 적응이 됩니다. 이 단계라면 수술 쪽이 선택되는 경우도 있습니다만, 방사선이 효과적인 암이나 수술이 어려운 장소라면 IMRT로 방사선을 조사하는 쪽을 선택하는 경우도 많이 있습니다.

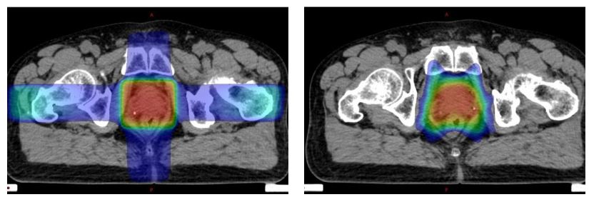
이 화상은 전립선암에 대해 통상 조사(왼쪽)와 IMRT(오른쪽)로 비교한 것입니다.
IMRT 쪽은 화면 아래쪽이 움푹 들어가 있는 것을 알 수 있을 거라고 생각합니다. 고선량의 부분(색이 붉은 부분)이 우수한 직장을 피하고 있습니다.
IMRT가 널리 쓰이게 되면서 전립선암은 보통 조사 때보다 더 많은 방사선을 조사할수 있게 되어 치료 성적이 향상된 암 중 하나입니다.
「림프절 전이가 있는 암」도 대상이 되는 경우가 많습니다. 다만 너무 먼 곳의 림프절로의 전이는 원격 전이로 취급될 수 있기 때문에 적응하지 못할 수도 있습니다. 두경부의 암 등은 목의 림프절이 여러 개 부어 있어도 IMRT로 전부 집중하여 조사하는 경우가 많습니다. 원발과 함께 조사할 수 있다면 적응이 되는 경우가 많은 이미지입니다.
그 밖에도 「원발부·림프절은 수술 등으로 치료한 후, 1곳이나 소수만 재발한 종양」 등도 「국소로 있다」고 할 수 있는 상황이라면 적응이 될 수 있습니다.

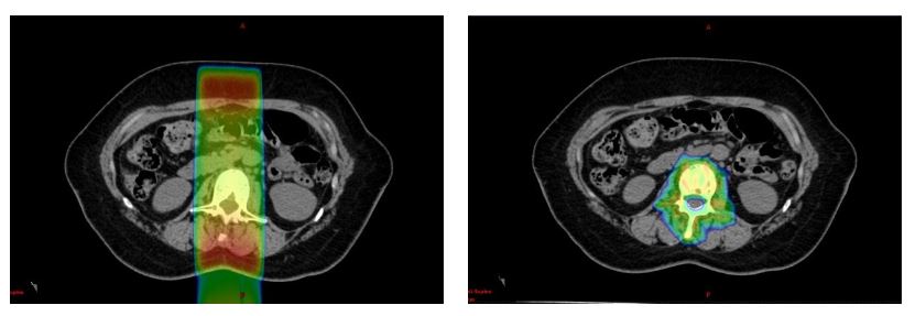
이 화상도 조금 전과 같은 통상 조사(왼쪽)와 IMRT(오른쪽)로 비교한 것입니다.
원전발암는 제거했지만 시간이 지나고 척추로 전이가 한 군데만 재발한 상황입니다. 사실 분류적으로는 정위 조사라는 장르지만, 기술적으로는 IMRT와 같은 방법으로 이루어지고 있습니다.
IMRT 쪽은 선량 분포의 가운데가 활짝 열려 있는 것이 보입니까? 여기는 척수라는 부분으로, 방사선이 너무조사하여 장애가 발생하면 하반신 마비 등이 일어나 버리는 부분입니다. 우리로서는 무슨 일이 있어도 장애를 남기고 싶지 않은 부분입니다. 기존의 통상 조사로는 이곳을 피하는 것이 불가능했습니다. 따라서 척추 병변에 대한 조사는 적당한 선량으로 억제하는 것이 주류였지만, 그렇게 되면 병변을 제어할 수 없는 경우도 많았습니다. IMRT 기술을 사용함으로써 전립선암과 마찬가지로 위험 장기의 선량을 억제하면서 투여선량을 증가시키고 병변 제어율을 향상시킬 수 있게 되었습니다.

강도 변조 방사선 치료 과정
IMRT의 치료 흐름을 설명합니다. 어디까지나 예이므로 참고하시기 바랍니다.
개개인이나 암의 종류에 따라 여러 가지 패턴이 있습니다.
초진
주치의로부터 소개를 받아 방사선 치료 의사의 외래 진료를 받도록 합니다.
고령자의 경우는 가족 분들도 동석하시는 것을 권장하고 있습니다.
치료의 대략적인 흐름이나 부작용 등에 대해 설명을 들어 주시고, 서로 납득한 바에 따라 향후 스케줄을 결정합니다.
치료 계획
IMRT를 실제로 시행할 때와 같은 자세, 같은 고정구로 CT를 촬영합니다. 선행하여 MRI 등을 촬영하는 경우도 있고 여러 번의 CT를 촬영하는 경우도 있으므로 여러 번 내원하실 수도 있습니다.
같은 자세를 매번 재현하여 조사하기 때문에 CT의 자세 등이 힘들면 주저하지 말고 말씀해 주십시오.
몸에는 마킹이라고 하는 조준선 같은 것을 마킹을 합니다. 환자분은 마크의 색이 옮겨져도 상관없는 속옷을 입고 오도록 하십시오. 새옷이 마킹이되어 새까맣게 오염되기 때문입니다.
또 CT·마킹 시에는 조사부를 노출하게 됩니다. 원피스 등은 피해서 상하 분리되는 옷을 입는 것이 바람직합니다.
촬영한 화상을 기초로 컴퓨터로 어떠한 방향으로부터 어떠한 세기로 방사선을 조사할지 계산해 갑니다. 2-3일 걸릴 수도 있습니다.
검증
다음으로, 완성된 치료 플랜이 현실에 제대로 조사 가능한지 확인하기 위해 현장 측정 등을 실시합니다.
잘 검증을 통과하지 않으면 계획을 다시 하기도 합니다.
이 기간에 마킹이 사라져 버리지 않도록 2-4일에 한 번의 페이스로 선을 추가하러 오셔야 합니다.
조사 시간 등은 마킹 추가 시에 환자와 방사선 기사가 상담하여 결정합니다.
CT에서 조사 시작까지 약 1주일입니다. 이가간에는 온천이나 격렬한 운동 등을 자제하고 마킹을 열심히 유지하여야 합니다.
조사 개시
드디어 치료가 시작됩니다. 예약시간(보다 조금 일찍) 내원하셔서 치료대에 올라가셔야 합니다.
치료 자세를 취하면 정렬을 하고 조사를 시작하는 것입니다. 요령은 '움직이지 않는다, 힘이 없다' 입니다. 20-30분 정도면 끝납니다.
끝나면 그날은 그걸로 끝입니다. 일주일에 한 번은 반드시 방사선 치료 의사의 진찰이 있으므로, 궁금한 것이 있으면 전해 주십시오.
치료가 어느 정도의 횟수가 진행되면 부작용이 나타날 수 있습니다.
사전에 결정한 횟수를 조사한 후에는 치료가 종료됩니다.
조사 종료 후~
치료가 끝난 후에는 주치의 밑에서 경과 관찰을 실시하고 있습니다.
방사선 치료 의사의 외래를 통해서도 경과 관찰을 할 수도 있습니다. 기간등은 환자분에 따라서 결정해 갑니다.
치료 종료 후 당분간은 조사 중 부작용이 계속될 수도 있지만, 몇 주 만에 정점을 찍고 그 후 완만하게 개선됩니다.
치료 종료 후 수개월~수년 내에 만기 장애라고 불리는 부작용이 출현할 수 있습니다. 대부분의 경우 위험은 낮지만, 일어나면 다른 치료를 필요로 할 수도 있습니다.
자료 인용 번역
일본 간사이방사선치료센터
| 【면책 사항】 ※저희 사이트의 내용은 정보제공를 목적으로 게재하고 있습니다. ※번역 내용이나 치료를 특정인에게 권장하거나 보증하는 것은 아닙니다. ※자원봉사 번역 및 자동번역에 의한 오역으로 발생한 결과에 대해 일절 책임을 지지 않습니다. ※본인의 질환에 적용되는지 여부는 반드시 주치의와 상의하시기 바랍니다. |
정위 방사선 치료
암 치료법 중에서도 특히 대표적인 것이 방사선에 의한 치료입니다. 그 중에서도 정위 방사선 치료라는 것은 어떤 것인지에 대해 알아보겠습니다.정위 방사선 치료란?일반 방사선 치료와는 달
g1004.tistory.com
새로운 암치료 주목 방사선 리간드 요법 (tistory.com)
새로운 암치료 주목 방사선 리간드 요법
새로운 암치료 주목 방사선 리간드 요법 의 위력 세포 안팎에서 방사선 조사새로운 암 치료가 주목을 끌고 있다. 방사선 리간드 요법이다. 킨키 대학 의학부 방사선 의학 교실의 호소노 마코토
g1004.tistory.com
방사선 치료 메커니즘
방사선을 조사하여 암세포의 DNA에 상처를 입히고 사멸을 시킵니다. 세포의 핵 안에는 염색체가 있고, ...
blog.naver.com
암치료 최신의 방사선
방사선 치료의 장점은? 암 치료에서는「 수술 」「 방사선 치료 」 「 약물 요법 」이 세 가지가 있습니다....
blog.naver.com
'입자선 > 방사선' 카테고리의 다른 글
| 토모테라피 래디잭트(TomoTherapy Radixact) (12) | 2024.09.03 |
|---|---|
| 강도 변조 방사선 치료(IMRT)/강도 변조 회전 조사(VMAT) (1) | 2024.08.23 |
| 정위방사선치료(SRT/SBRT) (1) | 2024.08.15 |
| 새로운 암치료 주목 방사선 리간드 요법 (1) | 2024.08.11 |
| 정위 방사선 치료 (1) | 2024.08.05 |