
토모테라피는
토모테라피는 고정밀 방사선 치료의 하나인 강도 변조 방사선 치료(IMRT)를 하기 위해 개발된 치료 장치입니다. 도넛 모양의 갠트리내에서 소형의 리니어크(방사선 조사 장치)가 360도 회전해, 동시에 베드가 천천히 슬라이드 이동하는 것으로, 토모 테라피에 특징적인 「나선(헬리컬) 조사」를 실시합니다.
빔의 조사구에서는 멀티 리프 콜리메이터라고 불리는 부분이 고속 개폐하여 빔의 형상이나 선량 강도를 세밀하게 변화시킵니다. 이러한 복잡한 조사는 방사선 종양 의사와 의학 물리사에 의해 작성된 '방사선 치료 계획'에 따라 컴퓨터 제어로 이루어집니다. 이 토모테라피의 조사 기술에 의해 삐뚤삐뚤한 형상의 병소라도 인접한 정상 조직을 피해 병소의 형태에 맞춘 집중적인 조사를 실시하는 것이 가능합니다. 침대가 이동하면서 연속 조사하기 때문에 여러 병소나 넓은 치료 범위라도 한 번에 치료할 수 있습니다.
또, 매회 치료 직전에, 토모 테라피에 탑재된 CT를 이용해 위치 대조, 화상 유도 방사선 치료(IGRT)를 실시합니다. 「방사선 치료 계획」과 매회 조사의 오차를 최소한으로 하여 밀리 단위의 고정밀도 치료를 가능하게 합니다. 병소에 정밀도 좋게 고선량을 조사함으로써 높은 치료효과를 기대할 수 있고, 정상조직의 조사선량을 저감함으로써 부작용이 적은 치료를 할 수 있습니다.

래디잭트로부담없는치료가가능하게
최신형 토모테라피·래디작트는, 최첨단의 기술이 복수 탑재되어, 보다 몸에 좋은 방사선 치료를 실시할 수 있는 치료 장치가 되고 있습니다. 래디잭트에서는, 종래의 토모 테라피의 특징인 「나선(헬리컬) 조사」에 더하여 「다이렉트(고정 다문) 조사」도 가능합니다. 다이렉트 조사에 의해 흉부질환(유방암, 식도암, 폐암 등)에 보다 안전한 조사가 가능해졌습니다.
최적의 조사법을 선택함으로써 전신의 대부분의 고형암에 대응할 수 있습니다. 또, 이전의 토모 테라피에서는 일정했던 조사 빔의 폭을, 컴퓨터 제어로 다이나믹하게 변화시킴으로써, 불필요한 조사 부분을 한층 더 컷트하는 것이 가능해졌습니다. 기술의 진보에 따라, 이전의 토모 테라피와 비교해, 준비 기간이나 치료 시간의 대폭적인 단축이 가능해져, 고정밀의 치료를 보다 적은 부담으로 실시할 수 있게 되어 있습니다.

토모테라피 래디잭트의 특징
부작용이 적은 정밀도 높은 치료
- 매번 치료 직전 CT를 이용한 위치 조합으로 밀리 단위의 고정밀 치료
- 삐뚤삐뚤한 형상이라도 주위의 정상 조직을 피하면서 병소의 형태에 맞춘 집중적인 조사
- 복수의 병소나 넓은 치료범위도 한번에 치료
- 높은 치료 효과를 기대할 수 있으며 부작용도 적다
- 헬리컬 조사와 다이렉트 조사에 의한 최적의 조사법으로 전신의 모든 고형암에 대응
일상생활을 하면서 치료를 할 수 있다
- 부작용이 적고 삶의 질을 유지한 채 치료가 가능하다
- 외래에서 통원 치료가 가능
- 일상생활의 제약도 적고, 일을 하면서 치료가 가능

토모테라피 래디잭트 치료예
라디잭트에 의한 방사선 조사 예
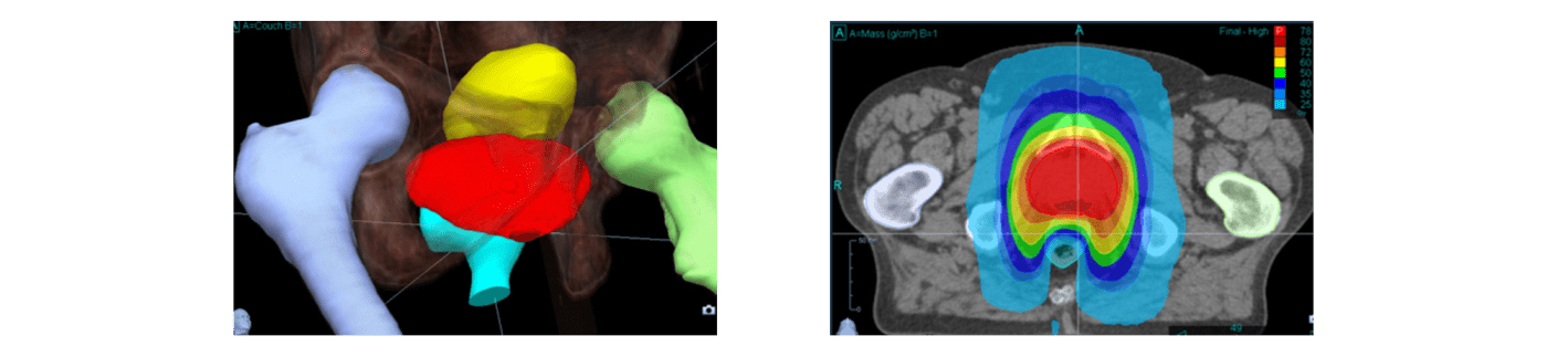
전립선암의 치료 예

정상 조직에 해당하는 선량을 억제한 치료가 가능
직장 등의 장기를 피하여 자유자재로 조사할 수 있음
유방암의 치료 예

폐나 심장에 해당하는 선량을 억제한 치료가 가능
「유방 온존술 후」 「유방 절제술 후」에 화학 요법이나 호르몬 요법과 병용해 실시해 갑니다.
골전이의 치료예

정상 조직에 해당하는 선량을 억제한 치료가 가능
https://blog.naver.com/i1004-/223552824966
토모테라피 새로운 버젼 래딕액트 Radixact
래디잭트 ( 토모테라피의 최신기기) 에 의한 치료에 대해 라디잭트에 의한 IMRT는 조사 전에 CT 영상...
blog.naver.com
일본 암치료 정보
암 치료 정보 줄기세포와 면역세포 중입자 iNKT세포 토모테라피 뷰레이 라디오파 간암 신장암 폐암 유방암 관련하여 정보를 제공 【면책 사항】 ※저희 사이트의 내용은 정보제공를 목적으
g1004.tistory.com

'입자선 > 방사선' 카테고리의 다른 글
| 최신 의료 루테슘(Lu-177) PSMA 거세 저항성 전립선암 치료에 대해 (2) | 2024.10.28 |
|---|---|
| PSMA-PET 검사에 대하여 (0) | 2024.09.10 |
| 강도 변조 방사선 치료(IMRT)/강도 변조 회전 조사(VMAT) (1) | 2024.08.23 |
| IMRT 방사선 (2) | 2024.08.16 |
| 정위방사선치료(SRT/SBRT) (1) | 2024.08.15 |