1,파킨슨병 역사
1817년 영국의 James Parkinson 의사에 의해 처음 발견되었습니다.그 후 1888년 Parkinson 의사의 일이 뒤늦게 평가되면서 파킨슨병으로 불리게 되었습니다.1912년 Friedrich Heinrich Lewy는 파킨슨병의 표지라고 할 수 있는 레비소체를 발견했고, 1919년 파킨슨병 환자는 뇌 중간 흑질 부위에서 신경이 탈락했음을 기재했습니다.
또한 중요한 발견으로는 이후 노벨상을 수상하는 스웨덴의 Arvid Carlsson 등에 의한 L-dopa의 발견이 있습니다. L-dopa는 중추신경에서의 도파민 부족을 보완하고 파킨슨병에서 많은 운동증상을 극적으로 개선하여 파킨슨병 환자에게 기여하고 있는 훌륭한 약제입니다. L-dopa는 1913년에는 이미 만들어졌지만 1960년대 이후 실제로 L-dopa를 사용한 실험, 시험이 시작되면서 그 효과가 밝혀졌습니다.
2,파킨슨병 병리
파킨슨병의 병리에 대해서 이하, 일본 신경병리 학회에서, 히로사키 대학 의학부 뇌신경 혈관 병태 연구 시설의 와카바야시 코이치 선생님에 의해서 쓰여진 기사를 인용하였습니다.
파킨슨병은 뇌 표면에는 병적인 변화는 보이지 않지만 뇌간 안쪽에 특징적인 변화를 볼 수 있습니다.정상적인 성인의 뇌에서는 중뇌의 흑질이라는 장소와 매계체의 청반핵이라는 장소를 검게 볼 수 있습니다.한편 파킨슨병 환자의 뇌에서 흑질과 청반핵은 흑갈색의 색을 잃고 있습니다.이유로 흑질과 청반핵이 검게 보이는 것은 신경세포가 신경 멜라닌이라는 색소를 갖기 때문이고 파킨슨병 환자는 멜라닌을 가진 신경세포가 많이 탈락되어 있기 때문에 흑질과 청반핵의 색이 옅어 보입니다.여기서 흑질의 멜라닌 신경세포는 도파민이라는 신경전달물질을 함유하고 있고 청반핵의 신경세포는 노르아드레날린이라는 신경전달물질을 함유하고 있습니다.따라서 파킨슨병 환자의 뇌 속에서는 이러한 신경전달물질이 감소하고 있어 운동장애가 생기는 것입니다.
또 하나 두드러진 특징으로 파킨슨병 환자의 흑질과 청반핵에서는 신경세포에 원형으로 주위가 하얗게 빠져 보이는 레비소체를 볼 수 있습니다.파킨슨병에서는 중추신경계의 자율신경핵이나 말초자율신경핵에 레비소체가 출현하기 때문에 자율신경장애가 생기는 것입니다.
3. 파킨슨병의 병태
파킨슨병은 뇌에 있는 대뇌 기저핵의 이상으로 발생합니다.정상적으로는 대뇌 기저핵의 출력은 GABA라는 억제성 물질로 운동이 조절되고 있는데 파킨슨병 환자에서는 대뇌 기저핵의 흑질에서 도파민이라는 물질이 정상적으로 나오지 않게 되면서 그 자극을 받아서 조절하던 기구가 파탄이 납니다.
선조체라고 하는 부분은 억제성 브레이크를 거는 조절을 담당하고 있습니다.즉, 흑질의 이상으로 선조체에 브레이크를 거는 지령이 오지 않게 됨으로써 선조체로부터의 담창 구내절이라는 부위에 억제성 사령을 낼 수 없게 됩니다.담창구내절은 억제성의 사령을 운동에 사용하기 때문에 브레이크가 듣지 않게 된 담창구내절은 과도하게 운동을 억제하여 파킨슨병 특유의 운동 장애로 이끄는 것입니다.

4, 파킨슨병 원인
파킨슨병에서는 알파-시누클레인이라는 단백질이 비정상적으로 축적됨으로써 뇌 중간 흑질의 신경세포가 조금씩 감소하여 그 기능이 상실된다고 생각됩니다.그로 인해 흑질과 연결되어 있는 선조체 도파민의 양이 결핍되어 파킨슨병의 증상이 나타납니다.발병의 계기에 대해서는 아직 명확하게 알려져 있지 않고, 유전적 요인에 신경독 등의 환경 인자가 더해져 일어나는 것으로 생각되고 있습니다.
파킨슨병의 원인 유전자는 다음과 같습니다
- 고발성 파킨슨병: 알파-시누클레인 단백질이 프로테아좀 분해를 억제함
- 조기성 파킨슨병: 유전자 변이에 의해 막단백질의 프로테아좀 분해가 억제됨.주요 증상은 과동이며, 레비 소체는 보이지 않고, 40세 이하에서도 발병하는 것으로 알려져 있습니다.
- 가족성 파킨슨병: 유전자에 의한. 퍼킨이 단백질 분해에 관련된 유비퀴틴리거즈의 활성이 없는 것으로 분류할 수 있습니다.또 전체 환자의 5~10%가 가족성 파킨슨병으로 알려져 있습니다.
5. 파킨슨병 역학
파킨슨병의 이환율은 대체로 14~19명/10만명/년, 유병률은 대체로 100~300명/10만명으로 추정되고 있습니다.연령과 함께 환자수는 증가하는 것으로 알려져 있으며, 65세 이상으로 한정하면 이환율은 대체로 10배인 160명/10만명/년, 유병률도 950명/10만명 정도로 높은 수치를 보이는 한편, 40세 미만에서의 이환율은 극히 낮아 대체로 10만명/년당 1명 미만인 것으로 추계되고 있습니다.
평균 수명이 늘어나면서 고령자는 증가하고 있기 때문에 필연적으로 파킨슨병의 이환율과 유병률은 해마다 증가하고 있는 것으로 추정됩니다.또 이환율은 여성보다 남성이 높다는 보고가 많지만 유병률에 대해서는 성차가 없다는 보고가 많습니다.이는 여성보다 남성은 평균 수명이 짧은 것에 기인하고 있기 때문이라고 생각됩니다.
6. 파킨슨병 증세
파킨슨병의 주요 증상은 다음과 같이 4가지입니다.
①진전(振戰) : 떨리는 일.특징으로 안정시 손과 발과 턱이 떨리기안정 시진전이 있습니다.가장 먼저 일어나는 증상으로 가장 많습니다.통증이 동반되는 경우도 있습니다.
②고축: 힘을 뺀 상태에서 관절이 단단해지고 다른 사람이 움직일 때에도 저항이 있는 상태입니다.
③과동:동작이 느려지는 것입니다.동작 시작이 어려워져서 발생합니다.예를 들면 눈 깜빡임이 적어지고 표정이 부족해진다, 말은 단조롭고 낮아지는 특징이 있습니다.
④자세 반사 장애: 균형을 잃을 뻔했을 때 반사가 약해져 넘어지기 쉬워집니다.
7. 파킨슨병 진단
1) 퍼킨소니즘이 있어요.※1
2. 뇌 CT 또는 MRI에 특이적 이상이 없음.※2
3. 퍼킨소니즘을 일으키는 약물·독물에 대한 노출이 없습니다.
4. 항파킨슨병 약물이 퍼킨소니즘으로 개선됩니다.※3
이상 4항목을 충족한 경우 파킨슨병으로 진단합니다(Definite).
또한 1, 2, 3은 충족하지만 약물반응을 검토하지 않은 증례는 파킨슨병 의심증례(Probable)로 합니다.
※1. 퍼킨소니즘의 정의는 다음의 어느 하나에 해당하는 경우로 한다.
(1)전형적인 좌우 차가 있는 안정시진전(46Hz)이 있습니다.
(2)기어양강강강, 동작완만, 자세반사장애 중 2개 이상이 존재함.
※2. 뇌 CT 또는 MRI에서 특이적 이상이란 다발뇌경색, 피각위축, 뇌간위축, 저명한 뇌실 확대, 저명한 대뇌위축 등 다른 원인에 의한 퍼킨소니즘임을 명백히 보여주는 소견의 존재를 말합니다.
※ 3. 약물에 대한 반응은 가능한 한 도파민 수용체 자극제 또는 L-dopa 제제로 판정하는 것이 바람직합니다.
< 중증도 분류 >
Hoehn-Yahr 중증도 분류 3도 이상, 생활기능 장애도 2도 이상을 대상으로 함.
Hoehn-Yahr 중증도 분류
0도 퍼킨소니즘 없음
1도 일측성 퍼킨소니즘
2도양측성 퍼킨소니즘
3도 경~중등도 퍼킨소니즘.자세 반사 장애 있음.일상생활에 도움 필요 없음
4도 고도장애를 나타내지만 보행은 도움 없이 어떻게든 가능
5도 돌봄 없이는 침대 또는 휠체어 생활
생활 기능 장애도
1도 일상 생활, 통원에 거의 도움을 필요로 하지 않습니다.
2도 일상생활, 통원에 부분적인 도움을 필요로 합니다.
3도 일상생활에 전면적인 도움을 필요로 하며, 독립적으로는 보행 기립 불능.
8. 파킨슨병 예후
파킨슨병 자체는 진행성 질병이지만 비교적 완만하게 진행되어 발병 후 10~15년은 독립적인 일상생활을 하는 것이 가능합니다.또, 발병으로부터 15~20년 사이에 자리에 누워 간호를 필요로 합니다.그러나 다른 진행성 질환과 비교하여 예후는 결코 나쁘지 않으며 평균 수명은 일반보다 2~3년 짧다고 알려져 있습니다.
파킨슨병의 치료 효과에는 개인차가 있지만, 꾸준히 치료를 계속함으로써 발병 후 장기간에 걸쳐 사회생활을 하는 것도 가능합니다.
▶ 파킨슨병 치료를 위한 골수줄기세포 채취방법
골수 검사에는 통상 10~ 20분 정도 걸립니다.특히 정맥 내(IV) 진정법을 받는 경우에는 준비와 처치 후 케어에 여분의 시간이 필요합니다.
골수 검사는 바늘을 삽입하는 영역을 마비시키는 국소 마취만으로 실시할 수 있습니다.특히 국소 마취를 사용한 경우 골수 흡입은 짧은 시간이지만 날카로운 통증을 일으킬 수 있습니다.많은 사람들은 또한 통증을 줄이기 위해 가벼운 진정도 선택합니다.
통증이 걱정되는 경우에는 골수 검사 중에 완전히 또는 부분적으로 진정 상태가 되도록 링거 약물이 투여될 수 있습니다.
생검침이 삽입되는 영역에 마크가 부착되어 소독제로 세척됩니다.골수액(흡인액) 조직샘플(생검) 는 보통 관골 뒤 상부 융기부(후장골릉) 에서 수집됩니다.경우에 따라서는 고관절의 앞부분을 사용하는 경우도 있습니다.
복부 또는 옆으로 눕게 하고 검사 부위만 보이도록 몸을 천으로 덮습니다.
일반적으로 골수 천자가 먼저 이루어집니다.의사 또는 간호사는 피부를 작게 절개하고 속이 빈 바늘을 뼈를 통해 골수에 삽입합니다.
바늘에 부착된 주사기를 사용하여 골수의 액체 부분의 샘플이 채취됩니다.일시적으로 날카로운 통증이나 찌르는 듯한 통증을 느낄 수 있습니다.흡입에는 몇 분밖에 걸리지 않습니다.몇 가지 샘플이 채취될 수 있습니다.
바늘을 꽂은 부분을 압박하여 출혈을 멎게 합니다.그 후, 그 부위에 붕대가 붙습니다.
국소마취를 시행한 경우는 10~ 15분 동안 위를 향해서 생검 부위를 압박하도록 요구됩니다.그 후, 외출해서 일상 생활을 보내고, 마음이 내키면 바로 통상적인 활동으로 돌아갈 수 있습니다.
정맥 내 진정제를 사용하고 있는 경우는 회복 지역으로 이동합니다.보호자와 동행하고 24시간 동안 진정합니다..
골수 검사 후 1주일 이상 어느 정도의 압통을 느낄 수 있습니다.아세트아미노펜(타이레놀 등) 등 진통제 복용에 대해 의사와 상담하십시오.
붕대를 착용하고 24시간 건조한 상태로 유지합니다.샤워를 하거나 목욕을 하거나 수영을 하거나 온수 욕조를 사용하지 마십시오.

다음과 같은 경우는 의사와 상담하십시오.
· 붕대에서 스며 나오는 출혈, 또는 직접 압박해도 멈추지 않는 출혈
· 지속적인 발열
· 통증과 불쾌감의 악화
· 시술 부위의 붓기
· 처치 부위의 발적 또는 배농의 증가
· 출혈이나 불쾌감을 최소화하기 위해, 1 ~ 2일간은 격렬한 활동이나 운동을 피하세요.
https://youtu.be/V94RR02HVDE?si=P2dIFefYMM8h_egj
▶줄기 세포 치료가 파킨슨병에 치료 효과를 발휘하는 원리
정맥 내에 줄기세포를 투여함으로써 줄기세포가 혈관 내를 이동하여 파킨슨병으로 변화된 뇌에 도달할 수 있습니다.그러면 변화된 신경세포를 줄기세포가 분화된 건강한 세포로 대체할 수 있고 도파민이 방출하는 세포가 되어 치료가 예상 됩니다.또한 정맥 내 투여된 골수줄기세포는 염증을 억제하는 물질을 증가시키는 것으로 보고되었으며, 신경세포가 질병의 진행으로 염증반응을 하는 것을 억제하는 장점도 있습니다.그것들이 서로 작용함으로써 줄기세포 치료는 효과가 발휘된다는 것을 알고 있습니다.
▶ 파킨슨병에 대한 줄기세포치료 에비던스, 의학연구, 의학논문 소개
파킨슨병이란 도파민이라고 불리는 쾌감이나 행복감을 느끼는 것이나 운동 조절을 하는 호르몬의 분비가 적어져 무동, 고축, 진전과 같은 파킨슨병 특유의 운동 증상을 일으키는 질병입니다.파킨슨병에 걸리면 뇌의 중뇌에 있는 흑질치밀부라는 부위의 도파민을 방출하는 신경의 세포가 비가역적으로 변화하여 그 기능을 상실하고 점차 행동을 습관화하거나 행동의 조합이나 순서를 기획하거나 전략을 짜거나 하는 기능을 잃게 됩니다.따라서 파킨슨병으로 도파민이 적어지면 걸으려고 해도 어떤 순서로 근육을 움직여야 할지 모르게 되어 버려서 몸이 움츠러들거나 떨리거나 합니다.또한 기억력이 나빠지거나 집중력, 주의력도 상실됩니다
도호대학 의료센터 오모리병원 임상검사부
파킨슨병은 나이가 들거나 유전자와도 관련이 있어 나이가 들면 누구나 파킨슨병에 걸릴 수 있습니다.그래서 파킨슨 병에는 개별적이고 조기 치료가 필요하게 됩니다.그런 상황에서 도움이 되는 것은 자신의 줄기세포를 이용한 치료입니다.줄기세포를 주입함으로써 질병으로 변화된 부위에 도달한 줄기세포는 도파민을 방출하는 세포로 대체되어 도파민 방출량을 늘리고 파킨슨병을 치료합니다.
이하, 줄기세포가 신경을 배양하는 배지에서 차례차례 분열하는 것을 관찰한 실험 결과입니다.

A: 배지에 줄기세포를 주입하여 7.5시간, 9.5시간, 10.5시간, 15.5시간 후의 결과입니다.
그림에서 알 수 있듯이 줄기세포는 신경세포로 분화할 수 있습니다.
골수간질세포, 유사분열 및 신경분화: 줄기세포와 전구세포의 기능
그럼 어떻게 정맥 내 투여된 줄기세포는 뇌에 도달하는 것일까요.여기서 파킨슨병에 줄기세포 치료를 하고 정맥 내 투여한 줄기세포가 뇌에 도달한다는 것을 증명한 연구 논문을 소개해 드리겠습니다.
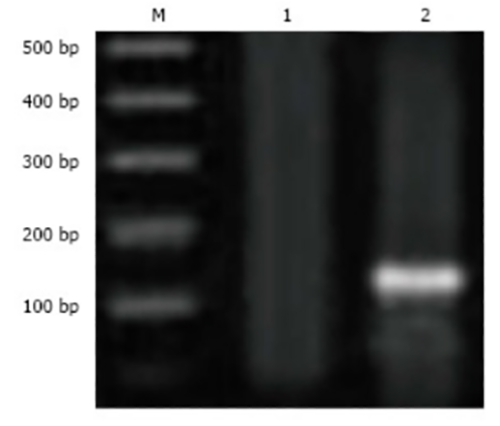
이 연구에서는 24마리의 암컷 쥐에 수컷 골수줄기세포를 정맥 내 투여해 SRY 유전자라는 수컷 특유의 유전자가 암컷 쥐의 뇌 조직에 도달한 것을 PCR을 통해 평가했습니다.따라서 골수 줄기세포는 정맥 내 투여로 뇌에 도달하는 것으로 나타났습니다.다음은 실험 결과입니다.

뇌 조직에서의 PCR 결과 (SRY 유전자가 존재하면 밴드가 출현합니다)
1. 난소가 절제된 줄기세포 주입하지 않은 군2. 줄기세포를 주입한 파킨슨병 군
결과적으로 수컷의 골수에서 유래한 SRY 유전자가 정맥 내 투여됨으로써 암컷의 뇌 내에 도달했음을 보여주었습니다.
파킨슨병의 병태 생리학적 기전 최신 정보 : 골수간엽계 줄기세포의 새로운 역할
이상의 결과에서 정맥 내 투여된 줄기세포는 뇌에 도달할 수 있음을 알 수 있었습니다.
그럼 줄기 세포 치료는 어떻게 파킨슨 병을 치료하는 것일까요.그 효과를 연구해 발표한 논문에 대해서, 이하 소개합니다.마우스를 4개의 그룹으로 나누어 레보도파(일반적인 파킨슨병 치료약)와 조혈모세포의 치료 효과를 조사했습니다.그룹 분류는 다음과 같습니다.
①식염수를 주입하는 군
②MPTP 주사로 파킨슨병 모델을 만든 군
③파킨슨병 모델 마우스에 레보도파를 주입하는 군
④정맥 내 투여로 CD34+조혈모세포를 7일간 주입하는 군.
주입은 7일간 연속으로 실시하고, 그 후 5주간 관찰했습니다.결과적으로 레보도파와 갈비도파는 조혈모세포와 마찬가지로 파킨슨병의 운동장애를 개선했지만, 조혈모세포는 운동장애뿐만 아니라 잃어버린 신경세포를 복원하고 근본적으로 치료효과를 기대할 수 있기 때문에 표준치료제인 레보도파보다 효과가 뛰어난 것으로 나타났습니다.
Saline : 생리식염수 주입군
MPTP: 주사로 파킨슨병을 일으킨 군
Levodopa: 파킨슨병 군에 레보도파를 주입한 군
Stem cells: 파킨슨병 군에 조혈모세포를 주입한 군
AB모두, 실험 그룹의 흑질에 있어서의 티로신 하이드록시라아제(TH) 면역 염색.
생리식염수군에서는 흑질치밀부(SNpc)에 풍부한 TH 면역양성 뉴런이 인정되었습니다.MPTP 그룹은 SNpc에서 TH 면역 양성 뉴런으로 현저히 상실된 것으로 나타났습니다.레보도파군은 MPTP군과 마찬가지로 SNpc에서 TH 면역 양성 뉴런의 현저한 상실을 나타냈습니다.줄기세포군은 SNpc에서 생리식염수군과 같은 TH 면역 양성 뉴런의 현저한 증가를 보였습니다.
또한, 아래와 같이 레보도파에 비해 줄기세포는 면역 양성 신경세포를 늘린다는 것도 알 수 있었습니다.즉, 대증 요법인 레보도파와 달리 줄기세포는 잃어버린 신경세포를 재생시키는 것으로 나타났습니다.

다음은 연구 결과입니다.파킨슨병은 MPTP 주사에 의해 재현되었습니다.

Saline : 생리식염수주입군 MPTP : 주사로 파킨슨병을 만들어낸 군
Levodopa: 파킨슨병 군에 레보도파를 주입한 군
Stem cells: 파킨슨병 군에 조혈모세포를 주입한 군
이 그래프는 그리드 워킹 테스트 실험으로 인한 발의 어긋남 비율을 평가했습니다.
결과적으로 MPTP군과 비교해 레보도파와 줄기세포 주입군은 발의 어긋남(슬립) 비율이 감소했습니다.또한 그래프에서 알 수 있듯이 레보도파보다 줄기세포는 다리의 어긋남이 더 적다는 것을 읽을 수 있었습니다.이에 줄기세포 주입군의 결과는 레보도파 주입군보다 임상적인 개선 정도가 우수한 것으로 나타났습니다.
이상의 결과에서 표준 치료제인 레보도파보다 줄기세포 치료가 더 파킨슨병 치료에 효과적이라는 것을 알 수 있었습니다.
쥐에서 실험적으로 유발된 퍼킨소니즘에서 정맥내 인간 제대혈 CD34+줄기세포치료 대 레보도파의 효과
줄기세포 치료로 기대할 수 있는 체내 효과
1,파킨슨병에 의해 변화해 버린 신경세포를 줄기세포를 정맥 내 투여함으로써 정상 신경세포로 대체할 수 있습니다.정맥 투여이기 때문에 대대적인 수술도 필요 없고, 몇 번의 통원으로 또는 왕진으로 치료할 수 있습니다.또한 줄기세포에는 염증을 억제하는 작용도 있어서 신경세포가 변성되는 것을 근본적으로 막을 수 있습니다.미래의 파킨슨병 진행을 늦출 수 있습니다
파킨슨병의 병태 생리학적 기전 최신 정보 : 골수간엽계 줄기세포의 새로운 역할
2, 파킨슨병에 합병되는 것으로 알려진 우울증이나 수면장애 등 2시적인 증상을 완화할 수 있습니다
▶ 줄기세포 치료와 일반 치료 대비 장점
파킨슨병의 일반적인 치료는 레보도파의 내복입니다.레보도파의 내복은 대증 요법이며 근본적으로 질병을 치료하는 치료는 아닙니다.또한 질병이 진행되면서 레보도파와 반응하는 신경세포 자체의 수가 줄어들어 효과가 나빠진다고도 알려져 있습니다.반면에 줄기세포 치료는 변화해버린 신경세포를 정상적인 세포로 대체할 수 있고 염증반응도 억제하기 때문에 근본적으로 질병을 치료하는 수단이라고 할 수 있습니다.정맥 내 투여이기 때문에 비교적 간단하게 실시할 수도 있어 획기적인 치료 방법이라고 할 수 있습니다.
본 블로그 내용은 일본 줄기세포 연구소 자료를 인용 번역하였습니다. 치료관련하여서는 담당 의사선생님과 상담하여 결정하시기 바랍니다. 본 내용에 대해서는 이해를 돕기위한 참고용이며 보증하지는 않습니다.
일본 의료기관 정보 문의 010 9002 7406
'줄기세포' 카테고리의 다른 글
| 신경장애 왜 골수유래 줄기세포 치료가 최적인가 (1) | 2024.07.06 |
|---|---|
| 혈연관계는 없는 HLA 부분 일치 기증자로부터의 조혈모세포 이식, 치료 성적은? (1) | 2024.06.11 |
| 뇌성마비에 대한 최근 줄기세포 치료,전종 줄기세포 16회 투여로 뇌성마비 사례 보고 (5) | 2024.06.07 |
| 자폐증에 대한 줄기세포 치료의 계통적 고찰 논문 요약 (3) | 2024.06.06 |
| 파킨슨병 집속초음파 치료 FUS (1) | 2024.05.14 |